| 首页 | 教育 | 高考 | 中考 | 中专 | 大专 | 技校 | 河北单招 | 3+2大专 | 职教中心 | 对口升学 | 成人高考 | 出国留学 | 常见问题 | 招生政策 | 职业培训| 专题 |
石家庄白求恩医学院每日一练——2019护士资格考点精练
1、题干:男,55岁。腹痛,呕血1次。结合X线片,此诊断为

A、胸腔积液
B、二尖瓣型心
C、主动脉型心
D、普大型心
E、肺炎
答案:B
解析:心脏投影呈现梨形,主要是心腰部分向外膨大的一种体现如下图。由于心脏的心腰部份是肺动脉和左心房共同构成。所以任何引起肺动脉膨大(见于肺动脉高压)和左心房扩大(见于二尖瓣狭窄)的疾病都会出现梨形心。尤其是二尖瓣狭窄时更为典型,因为二尖瓣狭窄时除左心房淤血增大外,长时间的肺部淤血还会出现肺动脉高压。这样左房增大和肺动脉高压同时出现使得心腰向外膨出。另外二尖瓣狭窄,流入左心室的血液减少,左心室会较正常减小就使心腰部分的膨大显得更加明显。所以梨形心最常见于二尖瓣狭窄所以又叫作二尖瓣形心。
2、题干:主动脉瓣关闭不全的杂音听诊位置是

A、A
B、E
C、M
D、T
E、P
答案:B
解析:主动脉瓣关闭不全在胸骨左缘第3、4肋间可闻及高调叹气样舒张期杂音,即E的位置。(B对)
3、题干:男,63岁。胸闷1天。最可能的心电图诊断是

A、心室颤动
B、心房颤动
C、室性期前收缩
D、房性期前收缩
E、室性心动过速
答案:B
解析:心房颤动心电图特征:窦性P波消失,代之以大小形态及规律不一的f波,频率350~600次/分,QRS 波群形态正常,R-R 间隔完全不规则,心室率极不规则,通常在100~160 次/分。该患者的心电图中P波消失,代之以代之以大小形态及规律不一的f波。(B对)
4、题干:男,10岁。发热、咳嗽6天。结合X线片,此诊断为

A、气胸
B、正常胸片
C、大叶性肺炎
D、肺结核
E、肺癌
答案:C
解析:大叶性肺炎表现为肺透亮度轻度下降或密度稍高的模糊影,均匀的致密影。肺炎累及整个肺叶时,以叶间裂为界,边缘清楚,形态与肺叶一致。(C对)
5、题干:全子宫加双附件切除无需切断的韧带是

A、卵巢固有韧带
B、子宫圆韧带
C、宫骶韧带
D、卵巢悬韧带
E、主韧带
答案:A
解析:全子宫加双附件切除,不需要切断的韧带是卵巢固有韧带。(A对)
6、题干:男,15岁。左上肢外伤20分钟。结合X线片,此诊断为

A、左尺桡骨双骨折
B、左尺骨骨折
C、左桡骨骨折
D、左肱骨骨折
E、正常
答案:A
解析:由图可看出是左前臂骨折,左前臂的尺骨和桡骨均有骨折,可诊断该患者为左尺桡骨双骨折。(A对)
7、题干:男,57岁。胸闷半天。最可能的心电图诊断是

A、正常心电图
B、房性期前收缩
C、室性期前收缩
D、心房颤动
E、心室颤动
答案:C
解析:QRS波群提前出现,形态宽大畸形, QRS时限>0.12 秒,与前一个P波无相关;T波常与QRS波群的主波方向相反;期前收缩后有完全代偿间歇。(C对)
8、题干:女,65岁。劳力性呼吸困难进行性加重5天。结合X线片,此诊断为

A、正常胸片
B、主动脉型心
C、二尖瓣型心
D、普大型心
E、胸腔积液
答案:D
解析:由X线可知,该患者心影普遍增大,心室和心房均有明显的扩张,为普大型心。(D对)
9、题干:卵巢内侧与宫角之间的韧带称为

A、卵巢固有韧带
B、子宫圆韧带
C、宫骶韧带
D、卵巢悬韧带
E、主韧带
答案:A
解析:卵巢固有韧带是卵巢与子宫底外侧角间的索条,又名卵巢子宫索。(A对)
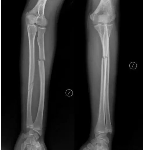
10、题干:男,56岁。左小腿外伤20分钟。结合X线片,此诊断为

A、左股骨骨折
B、左胫、腓骨双骨折
C、左腓骨骨折
D、左胫骨骨折
E、左尺、桡骨双骨折
答案:B
解析:该患者左小腿外伤,由图片可见胫腓骨透亮的骨折线,可判断该患者为胫、腓骨双骨折。(B对)
![]() |
![]() |
![]() |